C-View™ Synthesised 2D Imaging

Obtain high quality images while minimising patient radiation and discomfort.

Information Exclusively Intended for Healthcare Professionals

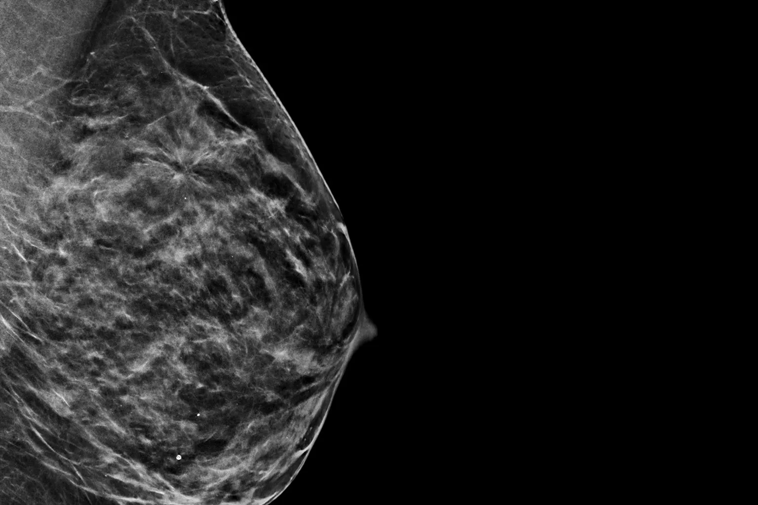
x-ray image of breast on black background

    Overview

    Documents

    Training

    Low-Dose, Highly Accurate Exams

    Raise your breast cancer screening performance1-4 with C-View software and instantly generated synthesised 2D images. It not only enhances details and speeds up the analysis, but also reduces radiation dose levels for your patients. C-View 2D images are clinically proven3,5 and can potentially replace the FFDM images within a tomosynthesis screening exam.

    C-View 2D imaging is a purchasable option available on both Selenia™ Dimensions™ Digital Mammography System and 3Dimensions™ systems. It is compatible with standard resolution 3D imaging only. It is not compatible with high-resolution 3D imaging.

    See More, Do More

    Architectural distortions, mass lesions, and bright spots commonly found in microcalcifications are more visible in the C-View 2D image than on the traditional FFDM 2D images or tomo slices.4,6-9

    Superior Performance

    Delivers superior clinical performance vs 2D mammography alone for all breast types.4

    Reduced Risk

    Reduce the risk of retakes5,7 with ultra-fast 3.7-second scans.*10,11

    Greater Accuracy

    Greater accuracy at a lower dose.**7

    Continuum of Care Graphic

    Unlock the Advantage of Time

    The Breast Health Continuum of Care offers integrated solutions for clinical confidence, workflow efficiency and compassionate patient care. It is our purpose to help more women to be in better health.

    C-View Synthesised 2D Imaging is part of the Hologic Screening and Diagnosis Solution.

    The Proof is in the Details

    C-View 2D images are clinically proven3,5 and can potentially replace the FFDM images within a tomosynthesis screening exam. The images are also a navigational aid to the tomosynthesis slice review. Published studies show that the low dose 3D Mammography exam finds invasive cancer earlier, while also reducing false positive recall rates compared to 2D alone.4,5,7

    Architectural distortions, mass lesions, and bright spots commonly found in microcalcifications, are more visible in the C-View 2D image than on the traditional FFDM 2D image or tomo slice.4,6-9

    Images of breast x-ray
    Interior image of Breast Imaging Suite inside the virtual hostpital.

    Visit Our Virtual Hospital

    Browse our portfolio of Breast Health solutions in 3D. See how you can unlock the advantage of time across the entire Breast Continuum of Care. 

    Evidence. Insight. Collaboration.

    Our education portal improves patient care through excellence in education, communication of clinical and scientific evidence, and partnerships with the healthcare community.

    Insights

    Radiographers reviewing tomosynthesis mammography on a screen Radiographers reviewing tomosynthesis mammography on a screen

    ToSyMa Study Results, a 3D Future for Breast Cancer Screening

    Women sitting in front of a mammography machine with a health care professional at her side. Women sitting in front of a mammography machine with a health care professional at her side.

    Global Insight: Breast and Cervical Screening Programmes Now and in the Future

    Woman patient talking to healthcare professional with image scans at the back Woman patient talking to healthcare professional with image scans at the back

    Global Insight: A Vision for Women-centric Care

      *Compared to other standard models
      ** With DBT + synthetic 2D vs DBT + standard 2D
      1. Friedewald SM, Rafferty EA, Rose SL, et al. Breast cancer screening using tomosynthesis in combination with digital mammography. JAMA. 2014 Jun 25;311(24):2499-507.
      2. Rafferty EA, Durand MA, Conant EF, et al. Breast Cancer Screening Using Tomosynthesis and Digital Mammography in Dense and Nondense Breasts. JAMA. 2016;315(16): 1784-6.
      3. Zeng B, Yu K, Gao L, Zeng X et al. Breast cancer screening using synthesized two-dimensional mammography: A systematic review and meta-analysis, Elsevier Breast 2021 Oct; 59: 270–278.
      4. Bernardi D, Macaskill P, Pellegrini M, et. al. Breast cancer screening with tomosynthesis (3D mammography) with acquired or synthetic 2D mammography compared with 2D mammography alone (STORM-2): a population-based prospective study. Lancet Oncol. 2016 Aug;17(8):1105-13.
      5. Skaane P, Bandos A, Eben E, et al. “Two-View Digital Breast Tomosynthesis Screening with Synthetically Reconstructed Projection Images: Comparison with Digital Breast Tomosynthesis with Full-Field Digital Mammographic Images” Radiology. 2014 Jun; 271(3):655-63.
      6. Durand M, Raghu M, Geisel J, et al. “Synthesized 2D Mammography + Tomosynthesis: Can We See Clearly?” (paper presented at the annual meeting of the Radiological Society of North America, Chicago, Il, December 2015).
      7. Zuckerman SP, Conant EF, Keller BM, et al. Implementation of Synthesized Two-dimensional Mammography in a Population-based Digital Breast Tomosynthesis Screening Program. Radiology. 2016 Dec;281(3):730-736.
      8. Zuley M, Guo B, Catullo V, et al. “Comparison of Two-dimensional Synthesized Mammograms versus Original Digital Mammograms Alone and in Combination with Tomosynthesis Images.” Radiology. 2014 Jun;271(3):664-71. Epub 2014 Jan 21.
      9. Woo O, Choi G, Shin H, et al. “Comparative Diagnostic Value of Two-dimensional Synthesized Mammogram and Conventional Full-field Digital Mammogram for Evaluation of Breast Cancer” (poster presented at the annual meeting of the Radiological Society of North America, Chicago, Il, December 2015).
      10. Rocha Garcia AM., Mera Fernandez D. Breast tomosynthesis: State of the art. Radiologia. 2019;61(4):274-285
      11. Lai Y-C, Ray KM, Mainprize JG, et al. Digital Breast Tomosynthesis: Technique and Common Artifacts. Journal of Breast Imaging 2020;2:615-28.

       

      Singapore-registered IFU data is available upon request.

      Safety Data Sheets

      Package Inserts