ImageChecker™ 2D CAD Technology
Computer Aided Detection (CAD) solution for multiple 2D mammography datasets.
Information Exclusively Intended for Healthcare Professionals
A Flexible, Compatible Detection Solution1
In a constantly changing clinical mammography environment, the flexibility and compatibility of ImageChecker 2D CAD Technology provides detection for conventional 2D images, as well as C-View™ and Intelligent 2D™ synthesised images derived from a tomosynthesis dataset.
Easy Navigation & Detection Features
Advanced anatomic correlation technology analyses corresponding findings in the contralateral breast and different views of the same breast.
Flexible Solution
Your site can select up to 3 sensitivity settings, or operating points, depending on what best suits the practice’s needs. A region will be marked only if the ranking falls above a chosen operating point.
Cost Effective Architecture
Integrated on the Dimensions™ acquisition workstation, this technology allows you to review images at the point of care and eliminates the need for a separate server.
Unlock the Advantage of Time
The Breast Health Continuum of Care offers integrated solutions for clinical confidence, workflow efficiency and compassionate patient care. It is our purpose to help more women to be in better health.
ImageChecker 2D CAD Technology is part of the Hologic Screening & Diagnosis Solution.
Highly Sensitive Results
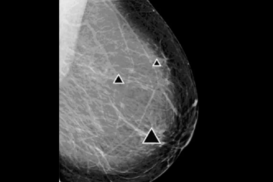
ImageChecker 2D CAD Technology searches digital mammograms for potential microcalcifications and masses, characteristics commonly associated with breast cancer.
- Regions-of-interest are highlighted for the radiologist’s attention
- Delivers highly sensitive results without excessive false-positive marks, streamlining case review2
- Easy navigation to the slice of interest in the tomosynthesis stack, when used in combination with Smart Mapping on synthesized 2D images
Visit Our Virtual Hospital
Browse our portfolio of Breast Health solutions in 3D. See how you can unlock the advantage of time across the entire Breast Continuum of Care.
Hologic AI-powered Integrated Software Solutions
Our products are designed to work together and can be customised to your needs. Discuss your clinical needs with our experienced team to find the best solution that suits you. Browse the relevant options below.
Image Gallery3
Evidence. Insight. Collaboration.
Our education portal improves patient care through excellence in education, communication of clinical and scientific evidence, and partnerships with the healthcare community.
Insights
- Data on File: CSR-00116 Rev 004
- User manual MAN-02002 Rev 002- section 1.6
- These features can be viewed on a Hologic® workstation† and are included in the ImageChecker® CAD license group. *ImageChecker® 2D CAD Technology operates on the 3Dimensions™ or Dimensions® AWS systems with software version 2.1/1.10.